GULIR UNTUK LIHAT KONTEN
News Bola Daerah Sulawesi Sumatera Jabar Banten Jateng DI Yogya Jatim Bali

Pemain Putra Jaya Pasuruan yang Tendang Lawan Dikeluarkan dari Klub, Korban Alami Retak Tulang Dada

Pertandingan Liga 4 pekan ke-32 Zona Jawa Timur yang digelar di Stadion Gelora Bangkalan, Jawa Timur, Senin sore, antara Putra Jaya Pasuruan melawan Perseta Tulungagung berakhir tragis.
  • Reporter :
  • Editor :
Rabu, 7 Januari 2026 - 18:40 WIB
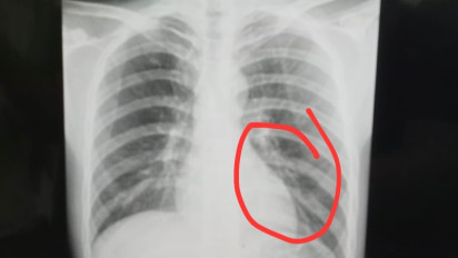
pemain Perseta Tulungagung bernama Firman Nugraha mengalami cedera serius berupa retak tulang dada
Sumber :
  • tvOne - abdul rohim

Bangkalan, tvOnenews.com – Pertandingan Liga 4 pekan ke-32 Zona Jawa Timur yang digelar di Stadion Gelora Bangkalan, Jawa Timur, Senin sore, antara Putra Jaya Pasuruan melawan Perseta Tulungagung berakhir tragis. Seorang pemain Perseta Tulungagung mengalami cedera serius usai mendapat terjangan keras di bagian dada dari pemain lawan, Rabu (7/1/2026).

Insiden terjadi pada menit ke-71 pertandingan. Saat hendak menggiring bola, pemain Putra Jaya Pasuruan bernomor punggung 23 justru melepaskan tendangan keras ke arah dada pemain Perseta hingga terjatuh di lapangan. Wasit yang memimpin laga langsung mengganjar kartu merah dan mengeluarkan pemain tersebut dari pertandingan.

ADVERTISEMENT

GULIR UNTUK LANJUT BACA

Akibat insiden tersebut, pemain Perseta Tulungagung bernama Firman Nugraha mengalami cedera serius berupa retak tulang dada dan dipastikan absen dalam dua pertandingan berikutnya.

“Pemain kami mengalami cedera yang serius, sehingga kami tidak menurunkan dalam dua kali sisa pertandingan di Stadion Bangkalan,” paparnya.

Menyikapi kejadian tersebut, manajemen Putra Jaya Pasuruan bertindak tegas dengan memutus kontrak pemain yang melakukan pelanggaran keras dan langsung mengeluarkannya dari klub.

“Kami dapat info pemain yang bersangkutan telah diputus kontrak dan dikeluarkan dari klubnya,” ungkap Medi Redondo, Pelatih Perseta Tulungagung.

Pelatih Perseta Tulungagung, Medi Redondo, berharap PSSI Jawa Timur dapat memberikan sanksi yang sepadan atas insiden tersebut sebagai upaya menegakkan prinsip fair play dalam kompetisi sepak bola.

ADVERTISEMENT

GULIR UNTUK LANJUT BACA

Sementara itu, insiden tendangan kungfu brutal yang dilakukan pemain PS Putra Jaya, Muhammad Hilmi Gimnastiar, terhadap dada pemain Perseta 1970 Tulungagung, Firman Nugraha, tidak berhenti sebagai pelanggaran di lapangan hijau. Aksi tersebut justru menjadi awal rangkaian sanksi keras, kecaman publik, hingga ancaman proses hukum.

Dalam laga Liga 4 Jawa Timur tersebut, tindakan Hilmi yang dinilai melampaui batas fair play berujung panjang, mulai dari pemecatan oleh klubnya sendiri, hukuman seumur hidup dari PSSI Jawa Timur, hingga rencana pelaporan ke jalur hukum oleh tim korban. (arm/gol)

Berita Terkait

Komentar

Topik Terkait

Saksikan Juga

Jangan Lewatkan

Sebelum Red Sparks Terpuruk, Megawati Hangestri Pernah Bikin Legenda Voli Korea Terpukau: Dia Punya Kemampuan

Sebelum Red Sparks Terpuruk, Megawati Hangestri Pernah Bikin Legenda Voli Korea Terpukau: Dia Punya Kemampuan

Jauh sebelum Red Sparks terpuruk, Megawati Hangestri pernah mencuri perhatian legenda voli Korea, Han Yoo-mi, berkat kemampuan serangan dan teknik tipuannya.
Ngabuburit di Pasar Senen: Berburu Baju Lebaran, Cicipi Jajanan, Hingga Berbuka di Tengah Hiruk Pikuk Kota

Ngabuburit di Pasar Senen: Berburu Baju Lebaran, Cicipi Jajanan, Hingga Berbuka di Tengah Hiruk Pikuk Kota

Sore hari menjelang waktu berbuka puasa di kawasan Pasar Senen, Jakarta Pusat, selalu menghadirkan pemandangan yang berbeda selama bulan Ramadan. 
Pernah Jadi Musuh Bebuyutan, Israel Adesanya Kini Berharap Alex Pereira Cetak Sejarah di UFC White House

Pernah Jadi Musuh Bebuyutan, Israel Adesanya Kini Berharap Alex Pereira Cetak Sejarah di UFC White House

Dulu menjadi musuh bebuyutan di octagon, Israel Adesanya kini mendukung Alex Pereira dalam pertarungan perebutan sabuk interim kelas berat di UFC Freedom 250.
Mimpi Kelulusan Siswa Diujung Tanduk, Wali Murid SMK IDN Boarding School Cemas Usai Izin Operasional Sekolah Dicabut

Mimpi Kelulusan Siswa Diujung Tanduk, Wali Murid SMK IDN Boarding School Cemas Usai Izin Operasional Sekolah Dicabut

Nasib pilu dialami siswa Kelas XII SMK IDN Boarding School di Kabupaten Bogor menjadi sorotan. Pemerintah Provinsi Jawa Barat mencabut izin pendirian sekolah
Sempat Comeback, PSIM Yogyakarta Justru Kehilangan Kemenangan di Menit Akhir

Sempat Comeback, PSIM Yogyakarta Justru Kehilangan Kemenangan di Menit Akhir

PSIM Yogyakarta tidak bisa berbuat banyak saat menghadapi Persijap Jepara pada pekan ke-25 Super League di Stadion Sultan Agung, Bantul, Rabu (11/3/2026).
Daftar Tim yang Berpeluang Lolos Playoff Liga Voli Korea 2025/2026, Red Sparks Tak Terselamatkan

Daftar Tim yang Berpeluang Lolos Playoff Liga Voli Korea 2025/2026, Red Sparks Tak Terselamatkan

Babak playoff Liga Voli Korea 2025/2026 semakin dekat, Pink Spiders dan GS Caltex bersiap bertarung di fase selanjutnya. namun Daejeon Red Sparks gagal lolos?

Trending

Sempat Comeback, PSIM Yogyakarta Justru Kehilangan Kemenangan di Menit Akhir

Sempat Comeback, PSIM Yogyakarta Justru Kehilangan Kemenangan di Menit Akhir

PSIM Yogyakarta tidak bisa berbuat banyak saat menghadapi Persijap Jepara pada pekan ke-25 Super League di Stadion Sultan Agung, Bantul, Rabu (11/3/2026).
Mimpi Kelulusan Siswa Diujung Tanduk, Wali Murid SMK IDN Boarding School Cemas Usai Izin Operasional Sekolah Dicabut

Mimpi Kelulusan Siswa Diujung Tanduk, Wali Murid SMK IDN Boarding School Cemas Usai Izin Operasional Sekolah Dicabut

Nasib pilu dialami siswa Kelas XII SMK IDN Boarding School di Kabupaten Bogor menjadi sorotan. Pemerintah Provinsi Jawa Barat mencabut izin pendirian sekolah
Daftar Tim yang Berpeluang Lolos Playoff Liga Voli Korea 2025/2026, Red Sparks Tak Terselamatkan

Daftar Tim yang Berpeluang Lolos Playoff Liga Voli Korea 2025/2026, Red Sparks Tak Terselamatkan

Babak playoff Liga Voli Korea 2025/2026 semakin dekat, Pink Spiders dan GS Caltex bersiap bertarung di fase selanjutnya. namun Daejeon Red Sparks gagal lolos?
Kronologi Izin SMK IDN Bogor Dicabut Gubernur Dedi Mulyadi: Berawal dari Dugaan Operasi Tanpa Legalitas

Kronologi Izin SMK IDN Bogor Dicabut Gubernur Dedi Mulyadi: Berawal dari Dugaan Operasi Tanpa Legalitas

Kronologi izin SMK IDN Boarding School Bogor dicabut Gubernur Jawa Barat Dedi Mulyadi. Simak alasan, polemik legalitas sekolah, dan nasib ratusan siswa terdampak.
Meski Tak Dipanggil Timnas Indonesia, Mees Hilgers Tiba-Tiba Kasih Kabar Gembira kepada John Herdman

Meski Tak Dipanggil Timnas Indonesia, Mees Hilgers Tiba-Tiba Kasih Kabar Gembira kepada John Herdman

Mees Hilgers mendadak membawakan kabar gembira kepada John Herdman. Sang pemain Timnas Indonesia kembali absen dari panggilan pada bulan Maret ini.
Gubernur Jabar KDM Cabut Operasional SMK IDN Bogor di Tengah Jalan, Ratusan Siswa Terancam Gagal Lulus, Wali Murid Geruduk Gedung Sate

Gubernur Jabar KDM Cabut Operasional SMK IDN Bogor di Tengah Jalan, Ratusan Siswa Terancam Gagal Lulus, Wali Murid Geruduk Gedung Sate

Wali murid SMK IDN Bogor menagih kepastian nasib anak-anak mereka, pascapencabutan izin operasional sekolah oleh Gubernur Jawa Barat (Jabar) Dedi Mulyadi (KDM).
Dulu Digadang Jadi Bintang Timnas Indonesia tapi Malah ‘Menghilang’, Mantan Striker Ini Kini Aktif Sebagai Asisten Pelatih

Dulu Digadang Jadi Bintang Timnas Indonesia tapi Malah ‘Menghilang’, Mantan Striker Ini Kini Aktif Sebagai Asisten Pelatih

Dulu digadang-gadang jadi bintang Timnas Indonesia tapi malah 'menghilang', mantan striker ini kini aktif sebagai asisten pelatih.
Selengkapnya

Viral

ADVERTISEMENT